Update: 30.04.2024
Es ist vollbracht, unser E-Wurf hat heute das Licht der Welt erblickt. Hier schließt nun das Trächtigkeitstagebuch.
Weiter geht´s hier zum Welpentagebuch: bitte hier klicken

Update: 22.04.2024
Heute am Tag 51 der Trächtigkeit waren wir mit Bones beim Tierarzt um die obligatorische Röntgenuntersuchung durchführen zu lassen.
Alles ist bestens verlaufen, es werden wohl um die 10 Welpen werden...
Weiterhin möchten uns bei allen bisherigen Welpeninteressenten des E- Wurf´s für das entgegengebrachte Vertrauen und für die interessanten Gespräche bei uns vor Ort hiermit bedanken.

Update: 19.04.2024
Das regnerische Wetter war perfekt um das Welpenzimmer einzurichten. Wurfbox, Waage und alle weiteren benötigten Utensilien waren schnell aufgebaut. Somit sind wir bestens auf das freudige Ereignis vorbereitet. Bones hat jetzt ein Bauchumfang von stolzen 82 cm und lässt es insgesamt etwas langsamer angehen.
Am 22.04.2024 erfolgt der letzte Gesundheitscheck für Bones beim Tierarzt. Bei dieser Gelegenheit wird auch gleich eine Röntgenaufnahme gemacht um die Anzahl der Welpen abzuschätzen.
Wir halten euch auf dem Laufendem....

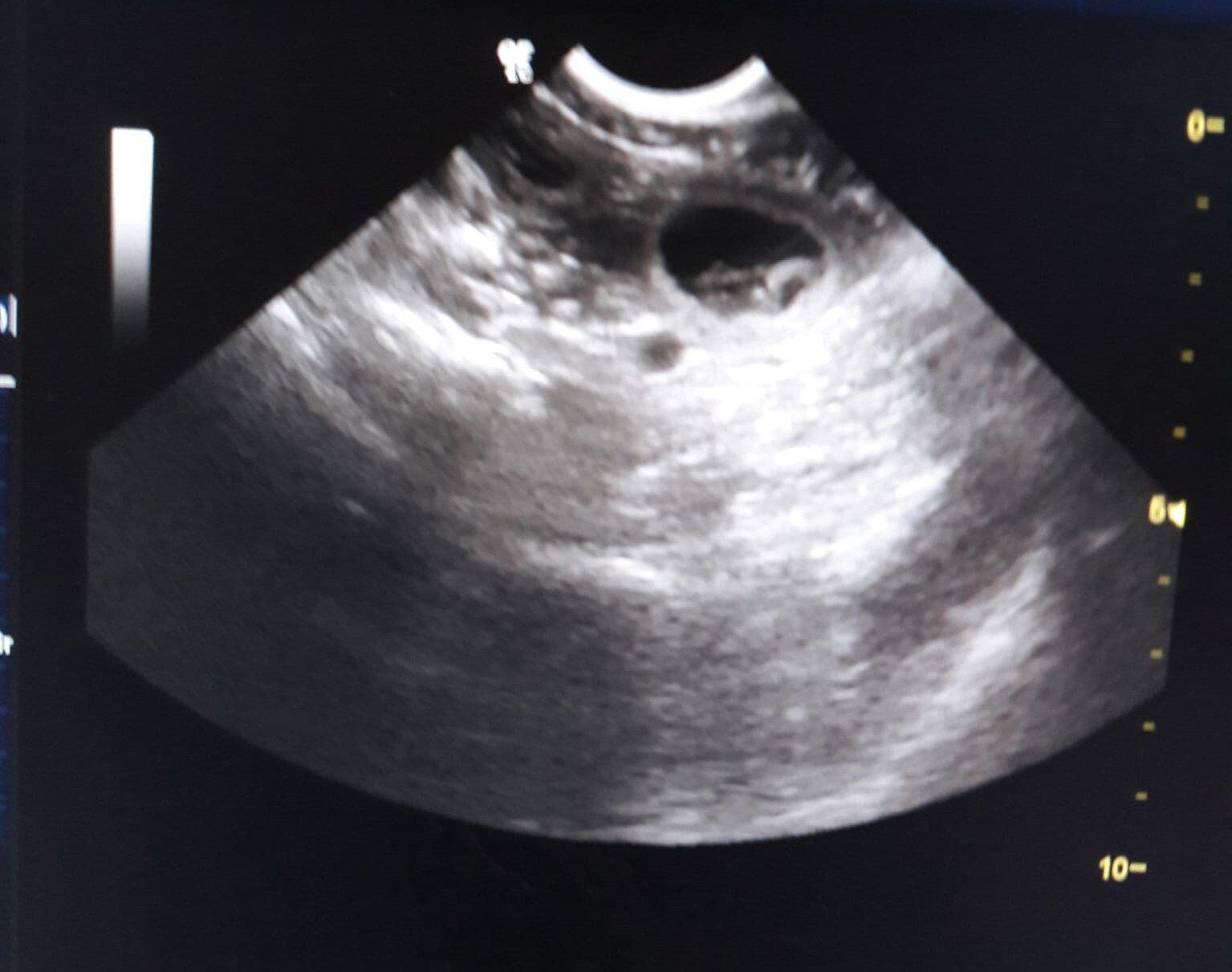
Update: 26.03.2024
Die heutige Ultraschall Untersuchung ergab das unsere Bones tragend ist.
Wir erwarten somit Anfang Mai unseren E-Wurf.
Ein großes Dankeschön geht an alle, die uns beim Daumen drücken tatkräftig unterstützt haben.

Update: 04.03.2024
Wir waren zu Besuch in Seesen bei Peter Schönwälder und seinem Rüden Nashit vom Lahberg.
Unsere Bones wurde am 02.03.2024 von Nashit belegt!
Nun heißt es Daumen drücken und 30 Tage warten, bis eine Ultraschall Untersuchung uns Gewissheit gibt.
Einen besonderen Dank möchten wir für die Gastfreundschaft sowie für die tollen Gespräche an unseren Zuchtleiter / Zuchtwart Armin Backschies und seiner Frau Ulrike richten.

