Update: 29.08.2022
Unser D-Wurf hat heute das Licht der Welt erblickt. Hier schließt nun das Trächtigkeitstagebuch.
Weiter geht´s hier zum Welpentagebuch: bitte hier klicken
Update: 25.10.2021
Heute am Tag 55 der Trächtigkeit waren wir mit Bones beim Tierarzt um die obligatorische Röntgenuntersuchung durchführen zu lassen.
Alles ist bestens verlaufen, es werden wohl um die 10 Welpen werden...


Update: 22.08.2022
Bones Babybauch misst nun am Tag 52 der Trächtigkeit stattliche 81 cm!
Wir haben gestern den Sonntag genutzt, um das Welpenzimmer herzurichten...


Update: 13.08.2022
Am Tag 43 der Trächtigkeit sieht man bereits deutlich einen Babybauch.
Neben dem gesteigerten Appetit könnten wir, wenn´s nach Bones gehen würde, rund um die Uhr mit ihr kuscheln - und wenn es sein muss auch zusammen mit ihrer Mutter...
Bisher verläuft alles planmäßig und wir hoffen auch das es so bleibt.


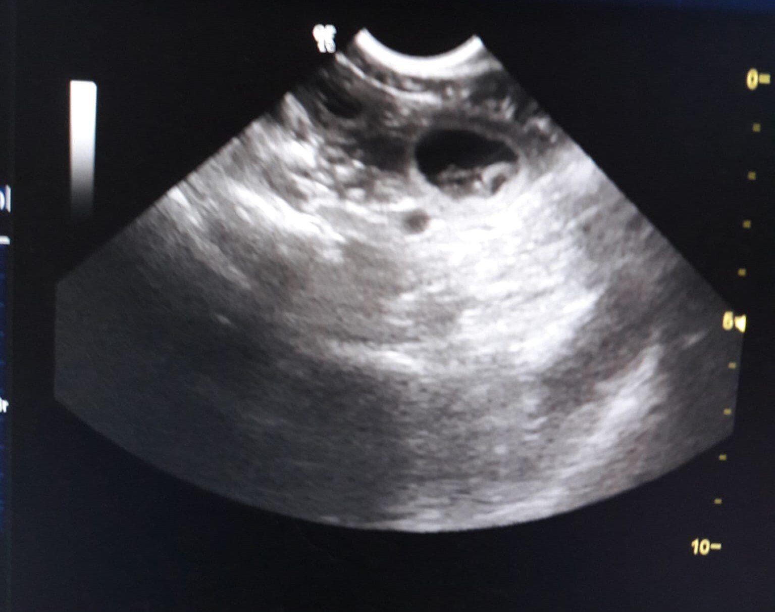
Update: 27.07.2022
Die heutige Ultraschall Untersuchung ergab das unsere Bones tragend ist.
Wir erwarten somit Anfang September unseren D-Wurf.
Ein großes Dankeschön geht an alle, die uns beim Daumen drücken tatkräftig unterstützt haben.

Update: 01.07.2022
Wir waren zu Besuch in Belgien bei Erik Rutten und seinem Rüden Paxx from Marrax Place.
Unsere Bones wurde am 01.07.2022 von Paxx belegt!
Nun heißt es Daumen drücken und 30 Tage warten, bis eine Ultraschall Untersuchung uns Gewissheit gibt.
Ein großes Dankeschön an Erik für die Gastfreundschaft und die tollen Gespräche.

